Se rendre au contenu

Tous les cours

Lithiase biliaire
Lithiase biliaire

DANSE E. - UCL
Secteur digestif - Année académique 2021-2022

Digestif MASTER 1
IRM des pathologies hypophysaires
IRM des pathologies hypophysaires

TSHIBANDA L. – ULG
Année académique 2021-2022

Nerveux IRM DES SPECIALITE
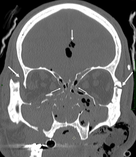
Anatomie et pathologie de l’orbite
Anatomie et pathologie de l’orbite

DUPREZ T. – UCL
Année académique 2021-2022

Nerveux DES SPECIALITE Orbite
Anatomie et pathologie sinusienne
Anatomie et pathologie sinusienne

DELPIERRE I. – ULB
Année académique 2021-2022

Nerveux DES SPECIALITE Sinus sphenoidal Sinus frontal Sinus ethmoïdal
Fibrose pulmonaire : approche diagnostique et cas cliniques
Fibrose pulmonaire : approche diagnostique et cas cliniques

TACELLI N. – ULB
Année académique 2021-2022

Cardio-thoracique DES SPECIALITE
Dosimétrie en scanographie thoracique
Dosimétrie en scanographie thoracique

TACK D. – ULB
Année académique 2021-2022

Cardio-thoracique DES SPECIALITE
Techniques arthrographiques
Techniques arthrographiques

VANDE BERG B. – UCL
Année académique 2021-2022

Musculo-squelettique DES BASE
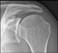
Epaule : pathologie dégénérative - coiffe et omarthrose
Epaule : pathologie dégénérative - coiffe et omarthrose

VANDE BERG B. – UCL
Année académique 2021-2022

Musculo-squelettique Épaule DES SPECIALITE
Rhumato : PR, psoriasis, PPR
Rhumato : PR, psoriasis, PPR

KIRCHGESNER T. – UCL
Année académique 2021-2022

Musculo-squelettique DES SPECIALITE
Lésions surrénaliennes
Lésions surrénaliennes

MEUNIER P. – ULG
Année académique 2021-2022

Urinaire DES SPECIALITE Surrénale
Lésions solides du pancréas
Lésions solides du pancréas

BALI M. – ULB
Année académique 2021-2022

Digestif DES SPECIALITE Pancreas
Lésions épithéliales hépatiques
Lésions épithéliales hépatiques

ANNET L. – UCL
Année académique 2021-2022

Digestif DES SPECIALITE Foie