Se rendre au contenu

Catalogue de formations

Démarrez votre apprentissage aujourd'hui !

Parcourez notre offre de formations ci-dessous et inscrivez-vous à celle qui vous convient.

Voir tout
Cours les plus populaires

Cas cliniques - Secteur Abdomen
Cas cliniques - Secteur Abdomen

DRAGEAN AC & MEUNIER P. & PEZZULLO M. - UCL, ULG, ULB
Année académique 2020-2021

Digestif DES BASE
L’essentiel sur l’ischémie intestinale aiguë en imagerie
L’essentiel sur l’ischémie intestinale aiguë en imagerie

DANSE E. - UCL
Année académique 2020-2021

Digestif DES BASE
Interventionnelle osseux
Interventionnelle osseux

VALKENBORGH C. - ULG
Année académique 2020-2021

Vasculaire Interventionnelle DES SPECIALITE
Voir tout
Nouveaux cours

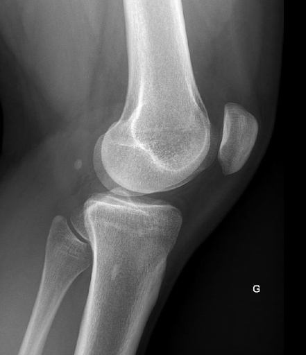
L'angle mort du genou
Nouveau contenu
L'angle mort du genou
EL MADANI AMAL – UCL 
Staff / revue de cas 
Année académique 2025-2026
Musculo-squelettique Genou Staff / Revue de cas
Imagerie de la hanche :  variantes et anomalies fréquemment asymptomatiques
Imagerie de la hanche : variantes et anomalies fréquemment asymptomatiques
KIRCHGESNER THOMAS – UCL 
Journée d’imagerie des CUSL 
Back to basics – 29/11/2025
Musculo-squelettique Hanche Journée d'imagerie des CUSL
WRDGN2130 - Compléments en imagerie médicale
WRDGN2130 - Compléments en imagerie médicale
Cours à option - Coordinatrice : DUMITRIU D. 
Année Académique 2025-2026
Cours à option