Se rendre au contenu

Tous les cours

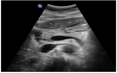
Cas cliniques - Secteur Abdomen
Cas cliniques - Secteur Abdomen

DRAGEAN AC & MEUNIER P. & PEZZULLO M. - UCL, ULG, ULB
Année académique 2020-2021

Digestif DES BASE
L’essentiel sur l’ischémie intestinale aiguë en imagerie
L’essentiel sur l’ischémie intestinale aiguë en imagerie

DANSE E. - UCL
Année académique 2020-2021

Digestif DES BASE
Interventionnelle osseux
Interventionnelle osseux

VALKENBORGH C. - ULG
Année académique 2020-2021

Vasculaire Interventionnelle DES SPECIALITE
Journée Radiologique Pédiatrique Pratique : 2015
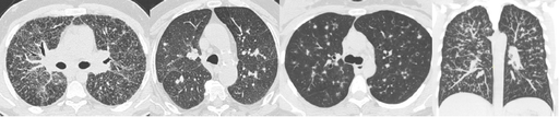
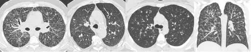
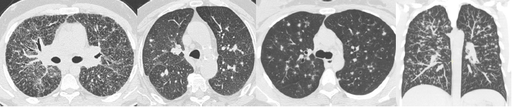
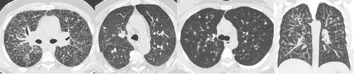
Micronodules
Micronodules

COCHE E. - 2021 - UCL

Cardio-thoracique DES SPECIALITE
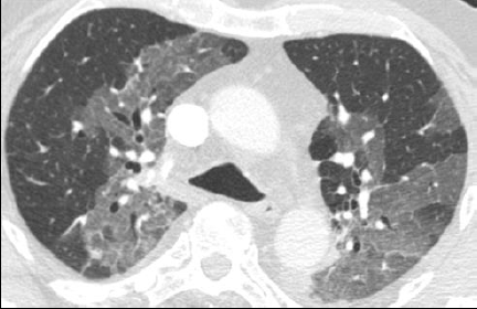
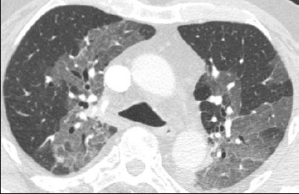
Verre dépoli
Verre dépoli

GHAYE B. - 2021 - UCL

Cardio-thoracique DES SPECIALITE
Cancers colo-rectaux
Cancers colo-rectaux

DANSE E. - UCL

Digestif MASTER 1
Contraste digestif en radiologie adulte
Contraste digestif en radiologie adulte

DANSE E. - UCL

Digestif MASTER 1
Foie : lésions focales
Foie : lésions focales

DANSE E. - UCL

Digestif MASTER 1 Foie
Foie : maladie chronique
Foie : maladie chronique

DANSE E. - UCL

MASTER 1
Pancréas
Pancréas

ANNET L. - UCL

Digestif MASTER 1 Pancreas
Pathologie digestive - grêle et colon, imagerie et pathologie