Se rendre au contenu

Tous les cours

Moelle osseuse - normale ou anormale
Moelle osseuse - normale ou anormale

VANDE BERG B. – UCL
Conférence du jeudi
Année académique 2020-2021

Moelle osseuse - quelques lésions focales
Moelle osseuse - quelques lésions focales

VANDE BERG B. – UCL
Conférence du jeudi
Année académique 2020-2021

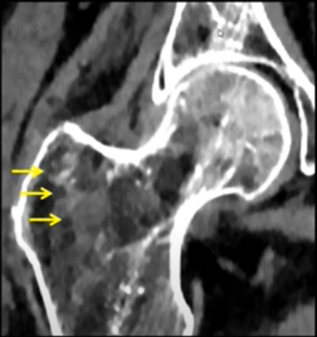
Scanner double énergie et pathologies osseuses des tissus mous
Scanner double énergie et pathologies osseuses des tissus mous

VANDE BERG B. & KIRCHGESNER T. – UCL
Conférence du jeudi
Année académique 2021-2022

Mémoires - Fin de Master 2020-2021
Mémoires - Fin de Master 2020-2021

FIN DE MASTER 2020-2021

Mémoires
Mémoires - Fin de master 2019-2020
Mémoires - Fin de master 2019-2020

FIN DE MASTER 2019-2020

Mémoires
Hanche - anatomie, variante, coxarthrose, prothèse
Hanche - anatomie, variante, coxarthrose, prothèse

VANDE BERG B. - UCL
Année académique 2021-2022

Musculo-squelettique Hanche DES SPECIALITE
Hanche et autour  ONTF, conflit, pathologie du sportif
Hanche et autour ONTF, conflit, pathologie du sportif

MADANI A. – ULB
Année académique 2021-2022

Musculo-squelettique Hanche DES SPECIALITE
Généralités  imagerie musculaire
Généralités imagerie musculaire

MADANI A. – ULB
Année académique 2021-2022

Musculo-squelettique Muscle DES SPECIALITE
Introduction aux maladies osseuses constitutionnelles MOC
Introduction aux maladies osseuses constitutionnelles MOC

CLAPUYT P. – UCL
Année académique 2021-2022

Musculo-squelettique Pédiatrique DES SPECIALITE
Introduction aux maladies de la substance blanche basic
Introduction aux maladies de la substance blanche basic

BOITSIOS M. – ULB
Année académique 2021-2022

Nerveux Pédiatrique DES SPECIALITE
Abdomen aigu du nouveau-né
Abdomen aigu du nouveau-né

MENTEN R. – UCL
Année académique 2021-2022

Digestif Pédiatrique DES SPECIALITE
Imagerie des infections urinaires et du reflux vésico-urétéral
Imagerie des infections urinaires et du reflux vésico-urétéral

DESPRECHINS B. – ULG
Année académique 2021-2022

Urinaire Pédiatrique DES SPECIALITE