Se rendre au contenu

Tous les cours

Epaule : instabilité de l'épaule
Epaule : instabilité de l'épaule

ACID S. – UCL
Année académique 2021-2022

Musculo-squelettique Épaule DES SPECIALITE
Garde Rx pédiatrique CUSL - Quelques particularités
Garde Rx pédiatrique CUSL - Quelques particularités

DUMITRIU D. - UCL
Année académique 2021-2022

Pédiatrique
WMDS2123 - Endocrinologie
WMDS2123 - Endocrinologie

Année académique 2021-2022

Endocrinien MASTER 1
Post opératoire normal et pathologique
Post opératoire normal et pathologique

DANSE E. – UCL
Année académique 2021-2022

Digestif DES BASE
Cas Cliniques - secteur Abdomen
Cas Cliniques - secteur Abdomen

PEZZULLO M. – ULB & MEUNIER P. – ULG
Année académique 2021-2022

Digestif DES BASE
MED2331 : Stratégie d'utilisation de l'imagerie médicale et de la biologie clinique
MED2331 : Stratégie d'utilisation de l'imagerie médicale et de la biologie clinique

Cours à option
Année académique 2021-2022

Cours à option
Interventions artérielles périphériques pathologies aigues et chroniques
Interventions artérielles périphériques pathologies aigues et chroniques

VOUCHE M. – ULB
Année académique 2021-2022

Vasculaire DES SPECIALITE
Interventions aortiques et des troncs digestifs
Interventions aortiques et des troncs digestifs

DEPREZ F. & HAMMER F. – UCL
Année académique 2021-2022

Vasculaire DES SPECIALITE
Recanalization of infra popliteal CTO + US Doppler et insuffisance veineuse
Recanalization of infra popliteal CTO + US Doppler et insuffisance veineuse

TANNOURI F. & VALKENBORGH C. - ULG
Année Académique 2021-2022

Vasculaire DES SPECIALITE
Comment réaliser une angioplastie ilio-fémorale ?
Comment réaliser une angioplastie ilio-fémorale ?

MURGO S. – ULB
Année académique 2021-2022

Vasculaire DES SPECIALITE
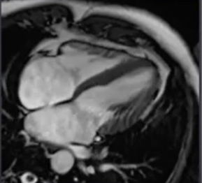
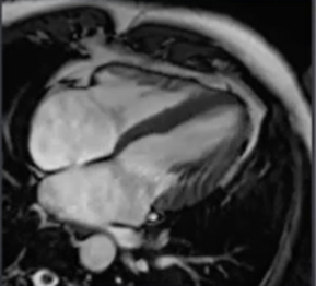
IRM cardiaque
IRM cardiaque

THOMA P. – ULB
Année académique 2021-2022

Cardio-thoracique DES SPECIALITE
Pathologies médiastinales
Pathologies médiastinales

COCHE E. – UCL
Année académique 2021-2022

Cardio-thoracique DES SPECIALITE