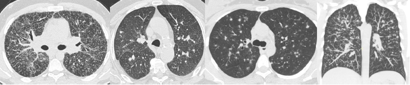
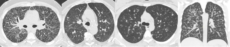
Micronodules
COCHE E. - 2021 - UCL
| Responsable | Christine |
|---|---|
| Dernière mise à jour | 13/09/2023 |
| Temps d'achèvement | 48 minutes |
| Membres | 130 |
COCHE E. - 2021 - UCL
| Responsable | Christine |
|---|---|
| Dernière mise à jour | 13/09/2023 |
| Temps d'achèvement | 48 minutes |
| Membres | 130 |
Nous utilisons des cookies pour vous offrir la meilleure expérience possible.