Se rendre au contenu

Tous les cours

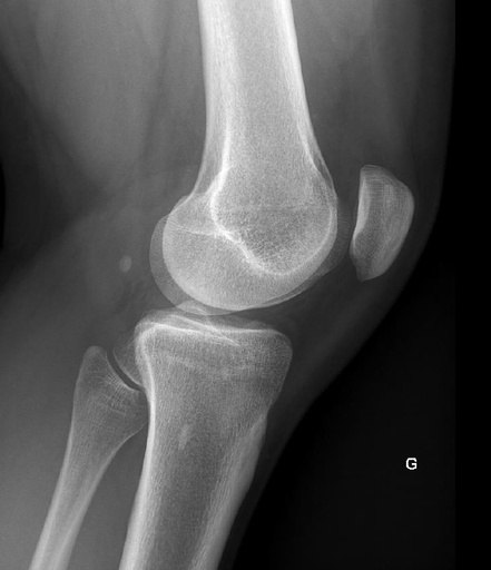
L'angle mort du genou
L'angle mort du genou
EL MADANI AMAL – UCL 
Staff / revue de cas 
Année académique 2025-2026
Musculo-squelettique Genou Staff / Revue de cas
Unmasking cystic lesions 
Nouveau contenu
Unmasking cystic lesions 
BLAVIER GEOFFROY – UCL 
Staff / revue de cas 
Année académique 2025-2026
Nerveux Staff / Revue de cas Cerveau
Journée Radiologique Pédiatrique Pratique : 2017
Journée Radiologique Pédiatrique Pratique : 2019
Journée Radiologique Pédiatrique Pratique : 2021
Démarche clinique - secteur respiratoire
Démarche clinique - secteur respiratoire

Année Académique 2022-2023

Cardio-thoracique BAC 3
WMDS1324 - 2 - Secteur respiratoire
WMDS1324 - 2 - Secteur respiratoire

Année Académique 2023-2024

Cardio-thoracique BAC 3
WMDS1324 - 2 - Secteur respiratoire
WMDS1324 - 2 - Secteur respiratoire

Année Académique 2024-2025

Cardio-thoracique BAC 3
WMDS2127 - Démarche clinique
WMDS2127 - Démarche clinique

Année Académique 2022-2023

MASTER 1
Une toux qui tourne mal
Une toux qui tourne mal

DIETZ ANNA – UCL 
Année académique 2022-2023

Pédiatrique Staff / Revue de cas
Jeux concours
Jeux concours

LECOUVET FREDERIC – UCL 
Année académique 2022-2023

Musculo-squelettique Staff / Revue de cas
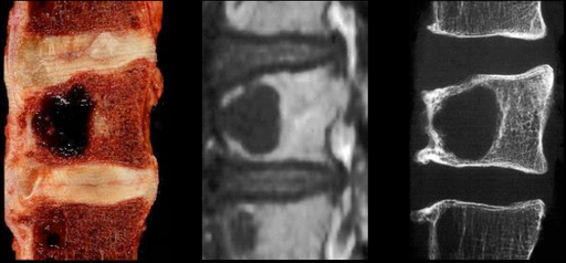
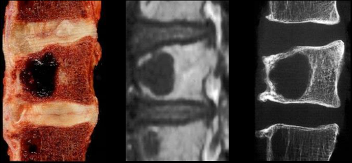
Il va falloir prendre des mesures !
Il va falloir prendre des mesures !

MENTEN R. – UCL 
Année académique 2022-2023

Staff / Revue de cas