Se rendre au contenu

Tous les cours

Staff / Revue de cas ×
Be SMART
Be SMART

GUNES TATAR IDIL – UCL 
Année académique 2022-2023

Nerveux Staff / Revue de cas
Une lésion profonde
Une lésion profonde

BOCCHIO ANNA PAOLA – UCL 
Année académique 2022-2023

Nerveux Staff / Revue de cas Veineux
Tassements vertébraux :  bénin ou pathologique
Tassements vertébraux : bénin ou pathologique

PERLEPE VASILIKI – UCL 
Année académique 2022-2023

Musculo-squelettique Vertèbre Staff / Revue de cas
"Cachez ces anévrismes que je ne saurais voir"
"Cachez ces anévrismes que je ne saurais voir"

DUPREZ T. - UCL
Année académique 2022-2023

Nerveux Staff / Revue de cas
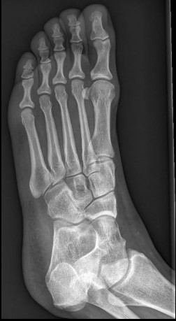
Il s'est choppé le pied
Il s'est choppé le pied

LEPOT DARIUS – UCL 
Staff / revue de cas 
Année académique 2023-2024

Musculo-squelettique Pied Staff / Revue de cas
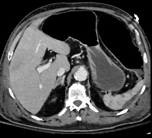
Choc
Choc

DELIRE BLUETTE - UCL
Staff / revue de cas
Année académique 2023-2024

Digestif Vasculaire Staff / Revue de cas Foie Rein Petit bassin Artériel Veineux Surrénale Pancreas
Partir du bon pied
Partir du bon pied

MLIYH LINA - UCL 
Staff / revue de cas 
Année académique 2022-2023

Musculo-squelettique Pied Staff / Revue de cas
Let it Flow, Feel the Glow
Let it Flow, Feel the Glow

DESCLEE PAUL – UCL 
Staff / revue de cas 
Année académique 2024-2025

Nerveux Staff / Revue de cas Cerveau
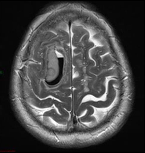
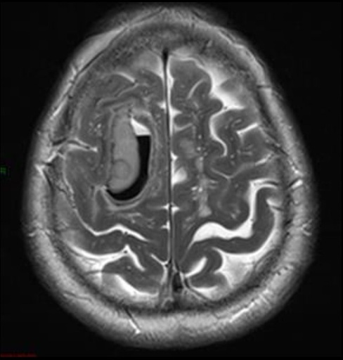
Alien vs Radiologue
Alien vs Radiologue
BADRAN KEVIN – UCL 
Staff / revue de cas 
Année académique 2024-2025
Nerveux Staff / Revue de cas Cerveau
L'angle mort du genou
L'angle mort du genou
EL MADANI AMAL – UCL 
Staff / revue de cas 
Année académique 2025-2026
Musculo-squelettique Genou Staff / Revue de cas
Unmasking cystic lesions 
Unmasking cystic lesions 
BLAVIER GEOFFROY – UCL 
Staff / revue de cas 
Année académique 2025-2026
Nerveux Staff / Revue de cas Cerveau
Une toux qui tourne mal
Une toux qui tourne mal

DIETZ ANNA – UCL 
Année académique 2022-2023

Pédiatrique Staff / Revue de cas