Se rendre au contenu

Tous les cours

WRDGN2130 - Compléments en imagerie médicale
WRDGN2130 - Compléments en imagerie médicale

Cours à option

Coordinatrice : DUMITRIU D. 

Année Académique 2022-2023

Cours à option
RDGN2120 - Neuroradiologie
RDGN2120 - Neuroradiologie

GUNES TATAR IDIL - UCL
Année Académique 2023-2024

Nerveux Cours à option Master 2
Abdomen aigue non-traumatique - hépato-bilio-pancréatique
Abdomen aigue non-traumatique - hépato-bilio-pancréatique

VAN WETTERE M. - ULB
DES BASE
Année académique 2023-2024

Digestif DES BASE Foie Voie biliaire Pancreas
Lésions vasculaires (MAV-fistules-Moya-Moya) cérébrales et médullaires
Lésions vasculaires (MAV-fistules-Moya-Moya) cérébrales et médullaires

BONNET T. - ULB
DES SPECIALITE
Année académique 2023-2024

Vasculaire Nerveux DES SPECIALITE Cerveau
MED2331 : Stratégie d'utilisation de l'imagerie médicale et de la biologie clinique
MED2331 : Stratégie d'utilisation de l'imagerie médicale et de la biologie clinique

Cours à option
Année académique 2023-2024

Cours à option
Mémoires - Fin de Master 2023-2024
Mémoires - Fin de Master 2023-2024

Fin de Master 2023-2024

Mémoires
Imagerie du thorax
Imagerie du thorax

COCHE E. - UCL

Année académique 2024 - 2025


Cardio-thoracique IPL
WMDS1311 - ANAT1370 : Anatomie Radiologique
WMDS1311 - ANAT1370 : Anatomie Radiologique

Année académique 2024-2025


BAC 3
WMDS2122 - Secteur Urologie/Néphrologie
WMDS2122 - Secteur Urologie/Néphrologie

Année Académique 2024-2025

MASTER 1
RDGN2120 - Neuroradiologie
RDGN2120 - Neuroradiologie

GUNES TATAR IDIL - UCL
Année Académique 2024-2025

Nerveux Cours à option Master 2
WRDGN2130 - Compléments en imagerie médicale
WRDGN2130 - Compléments en imagerie médicale

Cours à option

Coordinatrice : DUMITRIU D. 

Année Académique 2022-2023

Cours à option
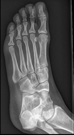
Il s'est choppé le pied
Il s'est choppé le pied

LEPOT DARIUS – UCL 
Staff / revue de cas 
Année académique 2023-2024

Musculo-squelettique Pied Staff / Revue de cas