Se rendre au contenu

Tous les cours

Cardio-thoracique ×
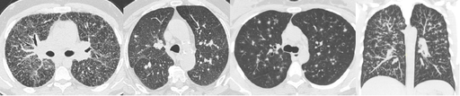
Micronodules
Micronodules

COCHE E. - 2021 - UCL

Cardio-thoracique DES SPECIALITE
Verre dépoli
Verre dépoli

GHAYE B. - 2021 - UCL

Cardio-thoracique DES SPECIALITE
Pièges et astuces en pathologie vasculaire pulmonaire
Pièges et astuces en pathologie vasculaire pulmonaire

GHAYE B. – UCL
Conférence du jeudi
Année académique 2020-2021

Vasculaire Cardio-thoracique
Fibrose pulmonaire : approche diagnostique et cas cliniques
Fibrose pulmonaire : approche diagnostique et cas cliniques

TACELLI N. – ULB
Année académique 2021-2022

Cardio-thoracique DES SPECIALITE
Dosimétrie en scanographie thoracique
Dosimétrie en scanographie thoracique

TACK D. – ULB
Année académique 2021-2022

Cardio-thoracique DES SPECIALITE
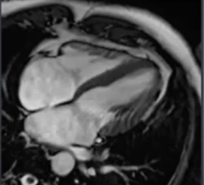
IRM cardiaque
IRM cardiaque

THOMA P. – ULB
Année académique 2021-2022

Cardio-thoracique DES SPECIALITE
Pathologies médiastinales
Pathologies médiastinales

COCHE E. – UCL
Année académique 2021-2022

Cardio-thoracique DES SPECIALITE
Imagerie du thorax
Imagerie du thorax

COCHE E. - UCL

Année académique 2024 - 2025


Cardio-thoracique IPL
Imagerie du thorax
Imagerie du thorax
E. COCHE - UCL
Année académique 2025 - 2026
IPL - manipulateurs en imagerie 
Cardio-thoracique Poumon IPL
Démarche clinique - secteur respiratoire
Démarche clinique - secteur respiratoire

Année Académique 2022-2023

Cardio-thoracique BAC 3
WMDS1324 - 2 - Secteur respiratoire
WMDS1324 - 2 - Secteur respiratoire

Année Académique 2023-2024

Cardio-thoracique BAC 3
WMDS1324 - 2 - Secteur respiratoire
WMDS1324 - 2 - Secteur respiratoire

Année Académique 2024-2025

Cardio-thoracique BAC 3