Se rendre au contenu

Tous les cours

DES SPECIALITE ×
Interventionnelle osseux
Interventionnelle osseux

VALKENBORGH C. - ULG
Année académique 2020-2021

Vasculaire Interventionnelle DES SPECIALITE
Micronodules
Micronodules

COCHE E. - 2021 - UCL

Cardio-thoracique DES SPECIALITE
Verre dépoli
Verre dépoli

GHAYE B. - 2021 - UCL

Cardio-thoracique DES SPECIALITE
How to do ? Comment faire ?
How to do ? Comment faire ?

Destiné aux assistants Radiologues en formation

Digestif Urinaire Toutes techniques Adulte DES BASE DES SPECIALITE
Affections vasculaires abdominales y compris de l'aorte abdominale et de ses branches
Affections vasculaires abdominales y compris de l'aorte abdominale et de ses branches

DANSE E. & Coll. - UCL - 29/01/2016

Digestif Vasculaire Aorte DES SPECIALITE
Tumeurs du tube digestif en imagerie
Tumeurs du tube digestif en imagerie

DANSE E. - UCL - 16/11/2018

Digestif DES SPECIALITE
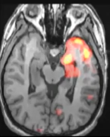
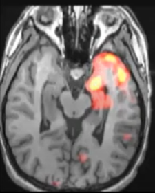
Imagerie de l’épilepsie
Imagerie de l’épilepsie

DAVID P. - ULB
Année académique 2021-2022

Nerveux DES SPECIALITE
Imagerie du genou pédiatrique
Imagerie du genou pédiatrique

SIMONI P. - ULB
Année académique 2021-2022

Musculo-squelettique Pédiatrique Genou DES SPECIALITE
Introduction à l’imagerie des malformations digestives
Introduction à l’imagerie des malformations digestives

DUMITRIU D. - UCL
Année académique 2021-2022

Digestif Pédiatrique DES SPECIALITE
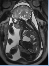
Introduction à l’imagerie materno-fœtale
Introduction à l’imagerie materno-fœtale

CANNIE M. - ULB
Année académique 2021-2022

Foetus Pédiatrique DES SPECIALITE
Lésions anoxo ischémiques chez l’enfant
Lésions anoxo ischémiques chez l’enfant

TEBACHE M.
Année académique 2021-2022

Nerveux Pédiatrique DES SPECIALITE
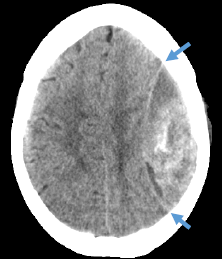
Questions approfondies de prise en charge des urgences neurologiques
Questions approfondies de prise en charge des urgences neurologiques

DUPREZ T. - UCL
Année académique 2021-2022

Nerveux DES SPECIALITE