Se rendre au contenu

Tous les cours

WRPR 3010 : Questions spéciales de Radioprotection
WRPR 3010 : Questions spéciales de Radioprotection

Certificat de compétence pour l'utilisation des rayons X en diagnostic médical (RXU2CE)
Année académique 2020-2021

Radioprotection
WRDGN 3120 : Principes, technique et contrôle de qualité
WRDGN 3120 : Principes, technique et contrôle de qualité

Certificat de compétence pour l'utilisation des rayons X en diagnostic médical (RXU2CE)
Année académique 2020-2021

Cours à option Radioprotection
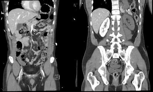
Traumatisme de l'abdomen
Traumatisme de l'abdomen

PEZZULLO M. - ULB
Année académique 2021-2022

Digestif DES BASE
Abdomen aigu non traumatique - génito urinaire
Abdomen aigu non traumatique - génito urinaire

VAN NIEUWENHOVE S. - UCL
Année académique 2021-2022

Urinaire DES BASE
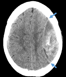
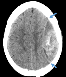
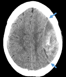
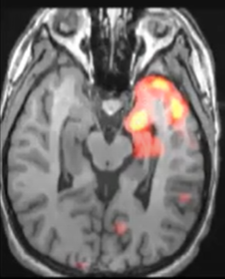
Imagerie de l’épilepsie
Imagerie de l’épilepsie

DAVID P. - ULB
Année académique 2021-2022

Nerveux DES SPECIALITE
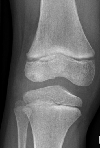
Imagerie du genou pédiatrique
Imagerie du genou pédiatrique

SIMONI P. - ULB
Année académique 2021-2022

Musculo-squelettique Pédiatrique Genou DES SPECIALITE
Introduction à l’imagerie des malformations digestives
Introduction à l’imagerie des malformations digestives

DUMITRIU D. - UCL
Année académique 2021-2022

Digestif Pédiatrique DES SPECIALITE
Introduction à l’imagerie materno-fœtale
Introduction à l’imagerie materno-fœtale

CANNIE M. - ULB
Année académique 2021-2022

Foetus Pédiatrique DES SPECIALITE
Lésions anoxo ischémiques chez l’enfant
Lésions anoxo ischémiques chez l’enfant

TEBACHE M.
Année académique 2021-2022

Nerveux Pédiatrique DES SPECIALITE
Questions approfondies de prise en charge des urgences neurologiques
Questions approfondies de prise en charge des urgences neurologiques

DUPREZ T. - UCL
Année académique 2021-2022

Nerveux DES SPECIALITE
Radiologie pratique de l'espace sous-acromial & Aspect radiologique des dépôts microcristallins
Radiologie pratique de l'espace sous-acromial & Aspect radiologique des dépôts microcristallins

MALGHEM J. – UCL
Conférence du jeudi
Année académique 2020-2021

Pièges et astuces en pathologie vasculaire pulmonaire
Pièges et astuces en pathologie vasculaire pulmonaire

GHAYE B. – UCL
Conférence du jeudi
Année académique 2020-2021

Vasculaire Cardio-thoracique