Se rendre au contenu

Tous les cours

DES SPECIALITE ×
Hanche - anatomie, variante, coxarthrose, prothèse
Hanche - anatomie, variante, coxarthrose, prothèse

VANDE BERG B. - UCL
Année académique 2021-2022

Musculo-squelettique Hanche DES SPECIALITE
Hanche et autour  ONTF, conflit, pathologie du sportif
Hanche et autour ONTF, conflit, pathologie du sportif

MADANI A. – ULB
Année académique 2021-2022

Musculo-squelettique Hanche DES SPECIALITE
Généralités  imagerie musculaire
Généralités imagerie musculaire

MADANI A. – ULB
Année académique 2021-2022

Musculo-squelettique Muscle DES SPECIALITE
Introduction aux maladies osseuses constitutionnelles MOC
Introduction aux maladies osseuses constitutionnelles MOC

CLAPUYT P. – UCL
Année académique 2021-2022

Musculo-squelettique Pédiatrique DES SPECIALITE
Introduction aux maladies de la substance blanche basic
Introduction aux maladies de la substance blanche basic

BOITSIOS M. – ULB
Année académique 2021-2022

Nerveux Pédiatrique DES SPECIALITE
Abdomen aigu du nouveau-né
Abdomen aigu du nouveau-né

MENTEN R. – UCL
Année académique 2021-2022

Digestif Pédiatrique DES SPECIALITE
Imagerie des infections urinaires et du reflux vésico-urétéral
Imagerie des infections urinaires et du reflux vésico-urétéral

DESPRECHINS B. – ULG
Année académique 2021-2022

Urinaire Pédiatrique DES SPECIALITE
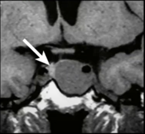
IRM des pathologies hypophysaires
IRM des pathologies hypophysaires

TSHIBANDA L. – ULG
Année académique 2021-2022

Nerveux IRM DES SPECIALITE
Anatomie et pathologie de l’orbite
Anatomie et pathologie de l’orbite

DUPREZ T. – UCL
Année académique 2021-2022

Nerveux DES SPECIALITE Orbite
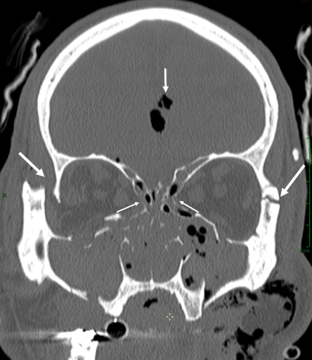
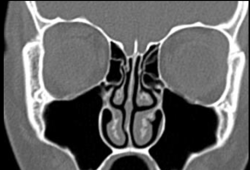
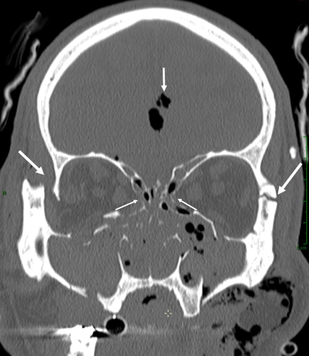
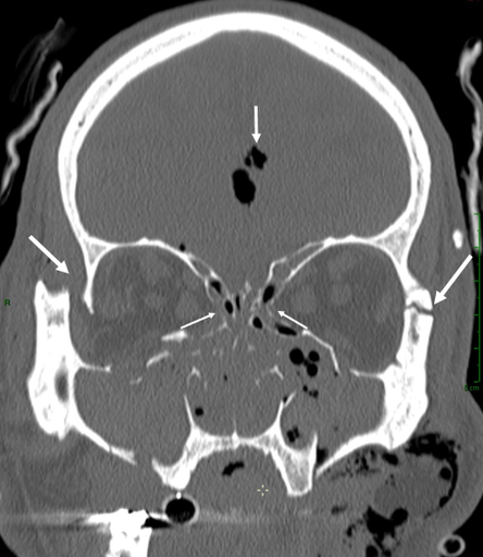
Anatomie et pathologie sinusienne
Anatomie et pathologie sinusienne

DELPIERRE I. – ULB
Année académique 2021-2022

Nerveux DES SPECIALITE Sinus frontal Sinus ethmoïdal Sinus sphenoidal
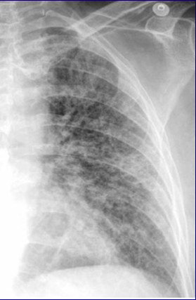
Fibrose pulmonaire : approche diagnostique et cas cliniques
Fibrose pulmonaire : approche diagnostique et cas cliniques

TACELLI N. – ULB
Année académique 2021-2022

Cardio-thoracique DES SPECIALITE
Dosimétrie en scanographie thoracique
Dosimétrie en scanographie thoracique

TACK D. – ULB
Année académique 2021-2022

Cardio-thoracique DES SPECIALITE