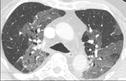
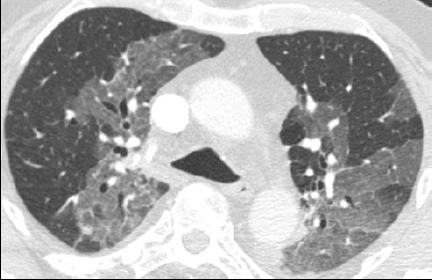
Verre dépoli
GHAYE B. - 2021 - UCL
| Responsable | Christine |
|---|---|
| Dernière mise à jour | 14/01/2022 |
| Membres | 131 |
GHAYE B. - 2021 - UCL
| Responsable | Christine |
|---|---|
| Dernière mise à jour | 14/01/2022 |
| Membres | 131 |
Nous utilisons des cookies pour vous offrir la meilleure expérience possible.