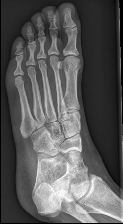
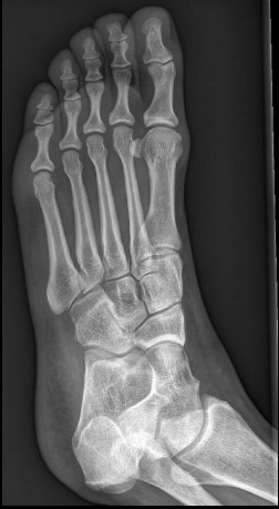
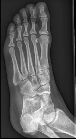
Il s'est choppé le pied
LEPOT DARIUS – UCL
Staff / revue de cas
Année académique 2023-2024
| Responsable | Christine |
|---|---|
| Dernière mise à jour | 08/10/2024 |
| Temps d'achèvement | 12 minutes |
| Membres | 15 |
LEPOT DARIUS – UCL
Staff / revue de cas
Année académique 2023-2024
| Responsable | Christine |
|---|---|
| Dernière mise à jour | 08/10/2024 |
| Temps d'achèvement | 12 minutes |
| Membres | 15 |
Nous utilisons des cookies pour vous offrir la meilleure expérience possible.