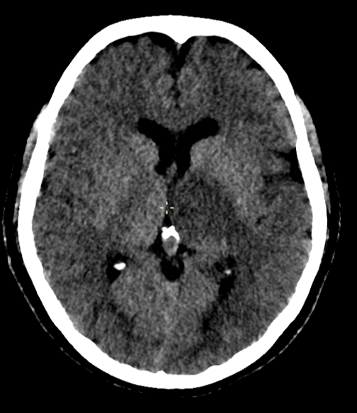
Une lésion profonde
BOCCHIO ANNA PAOLA – UCL
Année académique 2022-2023
| Responsable | Administrator |
|---|---|
| Dernière mise à jour | 09/01/2023 |
| Temps d'achèvement | 16 minutes |
| Membres | 23 |
BOCCHIO ANNA PAOLA – UCL
Année académique 2022-2023
| Responsable | Administrator |
|---|---|
| Dernière mise à jour | 09/01/2023 |
| Temps d'achèvement | 16 minutes |
| Membres | 23 |
Nous utilisons des cookies pour vous offrir la meilleure expérience possible.