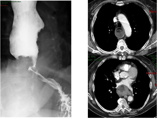
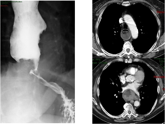
Tumeurs du tube digestif en imagerie
DANSE E. - UCL - 16/11/2018
| Responsable | Christine |
|---|---|
| Dernière mise à jour | 22/11/2021 |
| Membres | 42 |
DANSE E. - UCL - 16/11/2018
| Responsable | Christine |
|---|---|
| Dernière mise à jour | 22/11/2021 |
| Membres | 42 |
Nous utilisons des cookies pour vous offrir la meilleure expérience possible.