Se rendre au contenu
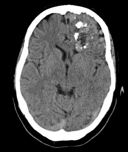
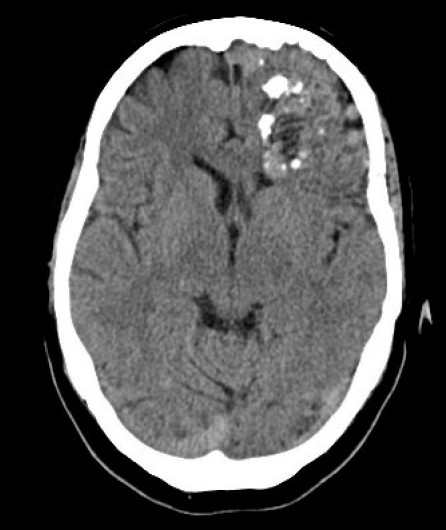
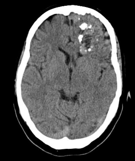
Lésions vasculaires (MAV-fistules-Moya-Moya) cérébrales et médullaires

Lésions vasculaires (MAV-fistules-Moya-Moya) cérébrales et médullaires

BONNET T. - ULB
DES SPECIALITE
Année académique 2023-2024

Responsable Christine
Dernière mise à jour 12/12/2023
Membres 68
Nerveux Vasculaire DES SPECIALITE Cerveau
    • Lésions vasculaires MAV fistules Moya Moya cérébrales et médullaires
    • Lésions vasculaires (MAV-fistules-Moya-Moya) cérébrales et médullaires