Tous les cours
- Musculo-squelettique
- Colonne cervicale
- Colonne dorsale
- Colonne lombaire
- Colonne
- Disque
- Facette
- Sacro-iliaque
- Vertèbre
- Sacrum
- Hanche
- Genou
- Cheville
- Pied
- Tarse
- Orteil
- Épaule
- Coude
- Main
- Poignet
- Doigt
- Muscle
- Tendon
- Nerf
- Aponevrose
- Ligament
- Cartilage
- Ostéo
- Artère
- Veine lymphatique
- Graisse
- Articulation
- Peau
- Hypoderme
- Parties molles
- Rhumatismes inflammatoires
- Rachis
- Affections osseuses
- Rhumatismes
- Avant-pied
- Région sterno-claviculaire
- Paroi abdominale
- Fascias
- Crâne
- Back to basis
- Région pelvienne
- Cuisse
- Cardio-thoracique
- Digestif
- Urinaire
- Vasculaire
- Endocrinien
- Nerveux
- Imagerie de la femme
Arthrite juvénile idiopathique
BOUTRY N. , COTTEN A. , PRUVOST I. , MAZINGUE F. - CHRU LILLE
MAP 2013
Musculo-squelettique
Pédiatrique
Affections osseuses
Rhumatismes
MAP
1 étapes
Echographie tendineuse : simple et pourtant ...
COHEN M. , DEMONDION X. , ISCAIN P. - Clinique Juge Marseille & CHRU LILLE
MAP 2013
Musculo-squelettique
US
Tendon
Affections osseuses
Rhumatismes
MAP
1 étapes
Pourquoi l’eau est-elle blanche en T2 ? et la graisse en T1 ?
MALGHEM J. & OMOUMI P - UCL
MAP 2013
Musculo-squelettique
IRM
Back to basis
MAP
1 étapes
Coussinets et franges articulaires graisseuses
VANDE BERG B. - UCL
MAP 2013
Musculo-squelettique
Graisse
Articulation
Back to basis
MAP
1 étapes
Réduction de la dose en CT : jusqu’où peut-on aller ?
BECCE F. , VERDUN FR. , OMOUMI P. - LAUSANNE & UCL
MAP 2013
Musculo-squelettique
CT
Back to basis
MAP
1 étapes
La lame osseuse sous-chondrale, cette inconnue
PERLEPE V. & VANDE BERG B. - UCL
MAP 2013
Musculo-squelettique
Back to basis
MAP
1 étapes
Appositions périostées de l’enfant : du normal au pathologique
BOUTRY N., MORAUX A. , LEFEBVRE G. - CHRU LILLE
MAP 2013
Musculo-squelettique
Pédiatrique
Back to basis
MAP
1 étapes
Genou anatomie, lésions méniscales, arthrose typique atypique, SONK…
ACID S. – UCL
Année académique 2022-2023
Musculo-squelettique
Genou
DES SPECIALITE
1 étapes
Nerfs : comment je fais une échographie d'un nerf, neuropathie (hors pied diabétique)
ACID S. – UCL
Année académique 2022-2023
Musculo-squelettique
US
Nerf
DES SPECIALITE
1 étapes
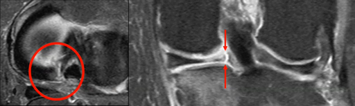
IRM des ligaments croisés
DEMONDION X. - CHRU LILLE
MAP 2014
Musculo-squelettique
IRM
Genou
Ligament
MAP
1 étapes
Genou inflammatoire
COTTEN A. - CHRU LILLE
MAP 2014
Musculo-squelettique
Genou
MAP
Inflammatoire
1 étapes