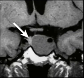
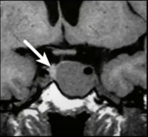
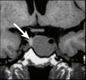
IRM des pathologies hypophysaires
TSHIBANDA L. – ULG
Année académique 2021-2022
| Responsable | Christine |
|---|---|
| Dernière mise à jour | 25/01/2022 |
| Membres | 59 |
TSHIBANDA L. – ULG
Année académique 2021-2022
| Responsable | Christine |
|---|---|
| Dernière mise à jour | 25/01/2022 |
| Membres | 59 |
Nous utilisons des cookies pour vous offrir la meilleure expérience possible.