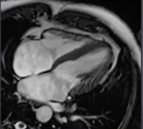
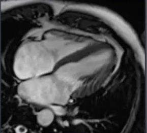
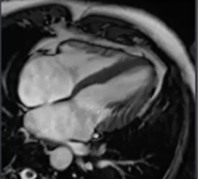
IRM cardiaque
THOMA P. – ULB
Année académique 2021-2022
| Responsable | Christine |
|---|---|
| Dernière mise à jour | 14/03/2022 |
| Membres | 50 |
THOMA P. – ULB
Année académique 2021-2022
| Responsable | Christine |
|---|---|
| Dernière mise à jour | 14/03/2022 |
| Membres | 50 |
Nous utilisons des cookies pour vous offrir la meilleure expérience possible.