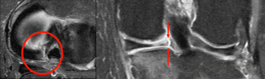
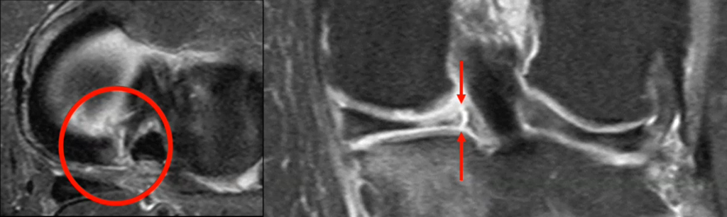
Genou anatomie, lésions méniscales, arthrose typique atypique, SONK…
ACID S. – UCL
Année académique 2022-2023
| Responsable | Administrator |
|---|---|
| Dernière mise à jour | 21/12/2022 |
| Membres | 57 |
ACID S. – UCL
Année académique 2022-2023
| Responsable | Administrator |
|---|---|
| Dernière mise à jour | 21/12/2022 |
| Membres | 57 |
Nous utilisons des cookies pour vous offrir la meilleure expérience possible.