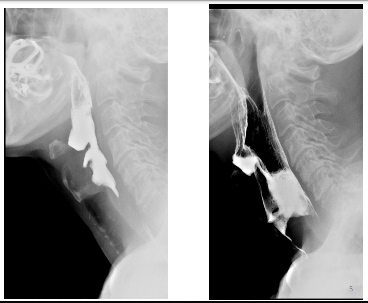
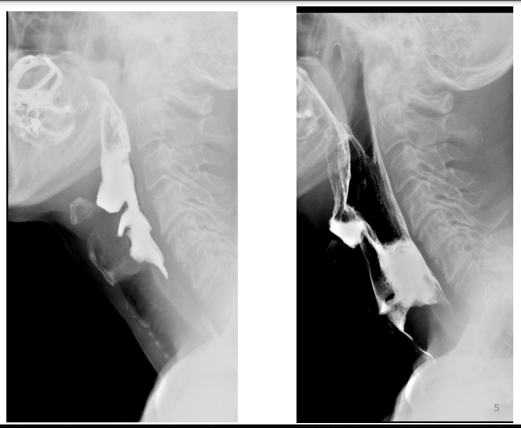
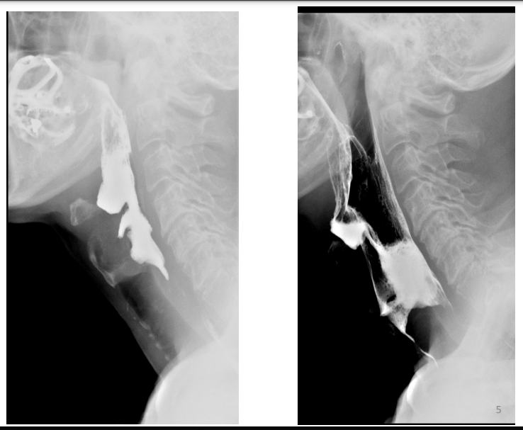
Contraste digestif en radiologie adulte
DANSE E. - UCL
| Responsable | Christine |
|---|---|
| Dernière mise à jour | 16/11/2021 |
| Membres | 101 |
DANSE E. - UCL
| Responsable | Christine |
|---|---|
| Dernière mise à jour | 16/11/2021 |
| Membres | 101 |
Nous utilisons des cookies pour vous offrir la meilleure expérience possible.