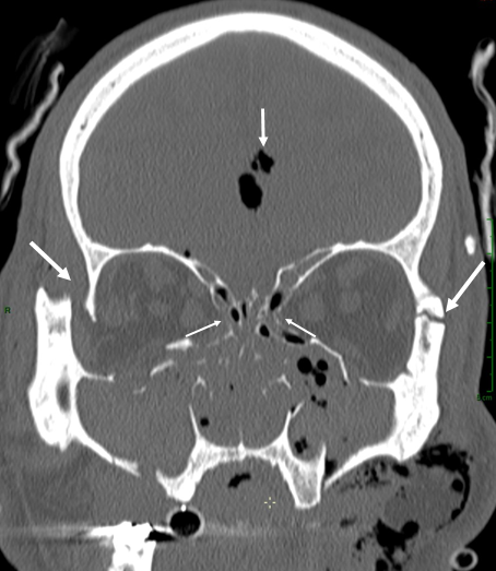
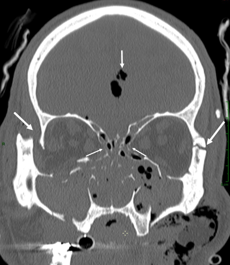
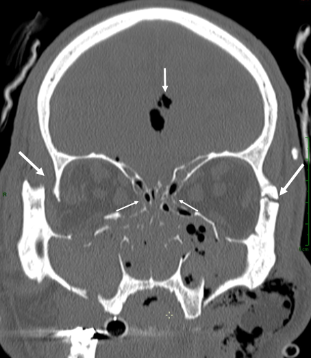
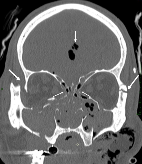
Anatomie et pathologie de l’orbite
DUPREZ T. – UCL
Année académique 2021-2022
| Responsable | Christine |
|---|---|
| Dernière mise à jour | 25/01/2022 |
| Membres | 55 |
DUPREZ T. – UCL
Année académique 2021-2022
| Responsable | Christine |
|---|---|
| Dernière mise à jour | 25/01/2022 |
| Membres | 55 |
Nous utilisons des cookies pour vous offrir la meilleure expérience possible.